
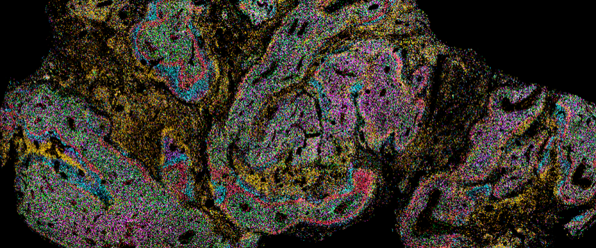
Xenium Human GBM Image Courtesy of Simon Gregory
In Situ Sequencing
Released in 2023, the 10x Genomics Xenium Platform is a leading-edge spatial transcriptomics technology that allows investigators to visualize target transcripts at subcellular resolution within a spatial context. The Xenium Analyzer detects each fluorescently labeled probe captured in microscopic images of the tissue of interest in a cyclical imaging scheme to create a unique optical signature for each target. For a full list of available panels, click here.

- Validated for fresh frozen or FFPE tissue sections
- ROI must fit within 10.45x22.45mm capture area
- Can fit multiple smaller sections of tissue into one capture area
- Facilitates visualization of up to 5000 genes/run
- Focused on targeted, customizable panels


Alongside the spatial omics services listed in the sidebar, here are the Xenium-specific services offered by the MGC:
- Tissue block DAPI QC
- Multimodal Cell Segmentation staining
- Xenium Analyzer Imaging and output
- Post-Xenium H&E staining
Spatial Profiling of RNA

The 10x Genomics Visium platform provides morphological context of cellular function in tissue microenvironments by incorporating total mRNA analysis of intact tissue sections. 10x Genomics has developed multiple workflows to provide flexibility for sample preparation and experimental design. Each Visium workflow follows a standard histological process: sectioning, tissue preparation, staining (H&E or IF), and imaging, followed by Visium analyte capture and processing into NGS library preparation.
- Species-agnostic
- Utilizes 10x Genomics Gene Expression Slides with four 6.5mm2 fields per slide
- Compatible with Fresh-frozen tissue
- Resolution of 50um spots, 100um center to center distance

- Validated for human & mouse FFPE, Fresh Frozen and Fixed Frozen tissue
- Designed to accommodate fragmented RNA
- Enables investigators to profile archival banked FFPE samples
- Uses a panel of 25mer probes to target 18-20k genes across the transcriptome
- Resolution of 50um spots, 100um center to center distance
- Customized probe spike-in option available
- Utilizes regular glass slides for sample preparation to transfer analytes to either 6.5mm2 or 11mm2 gene expression slide fields.

- Validated for human & mouse FFPE, Fresh Frozen and Fixed Frozen tissue
- Designed to accommodate fragmented RNA
- Enables investigators to profile archival banked FFPE samples
- Uses a panel of 25mer probes to target 18-20k genes across the transcriptome
- Resolution of 2um squares, no space between (full coverage)
- Customized probe spike-in option available
- Utilizes regular glass slides for sample preparation to transfer analytes to 6.5mm2 gene expression slide fields.

Alongside the spatial omics services listed in the sidebar, here are the Visium-specific services offered by the MGC:
- Tissue Optimization Assay (Visium Direct Placement, required)
- H&E staining
- Next Gen Sequencing (outsourced)
- Basic data analysis (Spaceranger)


To ensure the highest quality of service and successfully meet the needs of your project, we require specific information from you. Without your completed sample submission forms and service requests, we are unable to proceed. Please let us know if we can assist you in any way.